DigiScan – Your Premier Destination for AI Diagnostics
High-Resolution Digital Pathology Slides | Curated Cancer & Cytology Databases | AI-Ready Solutions
Welcome to Digiscan
At Digiscan, we empower scientists and AI researchers with high-quality digital pathology solutions. If you are building AI diagnostic tools, we provide precise, reliable, and AI-ready datasets at competitive rates.
Our Contribution to AI-Driven Cancer Diagnosis
Artificial Intelligence is revolutionizing oncology—from early detection to treatment planning. The key to AI success is large, validated, and annotated pathology datasets.
- High-resolution Whole Slide Images (WSIs)
- Annotated and labeled datasets (on request)
- IHC marker slides as per research protocols
- Custom database creation for machine learning and AI training
All images are scanned and verified by our team of highly qualified research pathologists, ensuring diagnostic accuracy and consistency.
Extensive Cancer Databases
We maintain comprehensive digital libraries for major cancers, including:

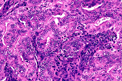
Breast Carcinoma

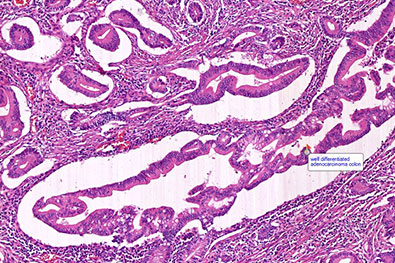
Colon Carcinoma

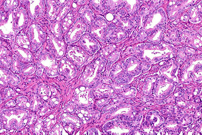
Prostate Carcinoma

Ovarian Carcinoma

Endometrial Carcinoma

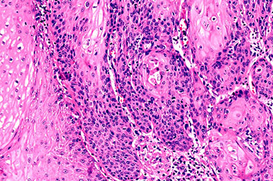
Oral Dysplasias & Carcinomas

Lymph Node Metastasis
Each dataset includes a large number of cases, including benign and normal counterparts, providing rich AI training material.
Specialized Cervical Cytology Database
Our dedicated Cervical Cytology database is designed to support AI-driven screening and diagnostic research. It includes a structured and validated collection of cytology cases covering the complete disease spectrum.

Breast Carcinoma

Colon Carcinoma

Prostate Carcinoma
- Normal cytology cases
- Premalignant lesions (LSIL / HSIL)
- Malignant cytology cases
- Conventional Pap smears
- Liquid-Based Cytology (LBC) smears
- High-resolution Whole Slide Images (WSIs)
- AI-ready structured datasets
Why Choose Digiscan?
- Competitive Pricing – Best rates in the industry
- Exceptional Image Quality – High-resolution WSIs with precise annotations
- Large Curated Databases – Ready for AI training and research
- Verified by Experts – Reviewed by research pathologists
- Custom Solutions – Tailored databases for your research or educational programs
Partner With Us
If you are developing AI diagnostic tools or building structured pathology datasets, Digiscan is your trusted partner.